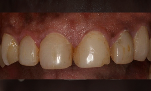
Restoration of Fractured front tooth with Ceramic Veneer - Single Visit

Patient entered the clinic with a fractured front tooth. There was no pain or other symptoms. He wanted a long term solution and chose to go with a ceramic veneer.

TOTAL TREATMENT TIME : 1.5 Hours ( One visit)

before
after

Restoration of Fractured front tooth with Ceramic Veneer - Single Visit

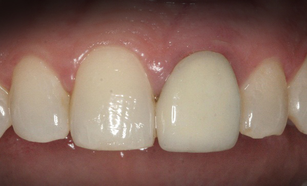
Smile designing with Veneers

The patient wanted to change his smile opting for brighter looking and better shaped teeth. His specific request was for prominent looking canines to make his face look more masculine. After the preparation and scan - a veneer trial was taken wherein the patient gave his inputs with regard to the smile we had designed for him. After we took note of those changes we finalized the veneers and they were bonded the next day. The end result was exactly as he had wished for and the canines did give strength to a great smile

TOTAL TREATMENT TIME : 2 HOURS ( ONE SITTING)

before
after

Smile designing with Veneers

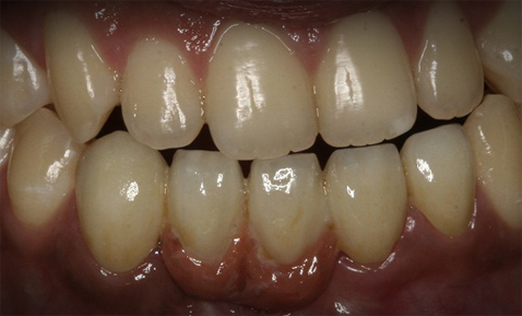
Replacement of Missing Teeth with an All Ceramic Bridge

A young boy with a history of trauma had lost couple of his lower front teeth. The trauma had caused a substantial amount of bone and tissue loss. The bone plates used to stabilize the fracture area were also still in place. Ideally we would have like to treat the patient with bone augmentation and dental implants but he and his parents were not keen to undergo any more surgery. The alternative chosen was a beautifully designed and constructed Zircona bridge that not only replaced the teeth but also the underlying gum tissue.

TOTAL TREATMENT TIME : 2 DAYS ( 2 SITTINGS)

before
after

Replacement of Missing Teeth with an All Ceramic Bridge

Full mouth Rehab with All Ceramic Restorations

Patient who had worn down his teeth due to tobacco chewing was restored with All Ceramic Teeth

TOTAL TREATMENT TIME : 1 week ( 3 SITTINGS)

before
after

Full mouth Rehab with All Ceramic Restorations

Smile Design with Direct Composite Veneers

Patient came in to the practice with tobacco stained teeth which despite a thorough scaling and polishing appeared dark. He wanted them brightened with something more permanent than mere bleaching. This new smile was achieved with direct composite build up in a total treatment time of 2 hours in a single sitting. He came in with dark oldish looking teeth and walked out 2 hours later with a bright confident smile.

TOTAL TREATMENT TIME : 2 HOURS ( ONE SITTING)

before
after

Smile Design with Direct Composite Veneers

Full Mouth Implant Supported Fixed teeth

Implants with temporary teeth - 2 visits - 4 hours.

Final Posthesis after 4 months - 2 visits - 2 hours

A 45 year old lady with a severe case of Periodontitis had lost several teeth as well as her confidence. The remaining teeth were in a condition beyond salvaging. In a single sitting the reamining teeth were removed, implants placed and impressions taken. A temporary bridge was cemented in a couple of days. 4 months later she came in with well integrated dental implants which were then loaded with her permanent ceramic restorations. The Post op picture is of the 2 year follow up visit.

TOTAL TREATMENT TIME : (4 SITTINGS) 2 HOUR EACH

before
after

Full Mouth Implant Supported Fixed teeth

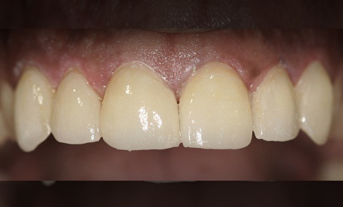
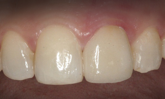
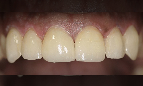
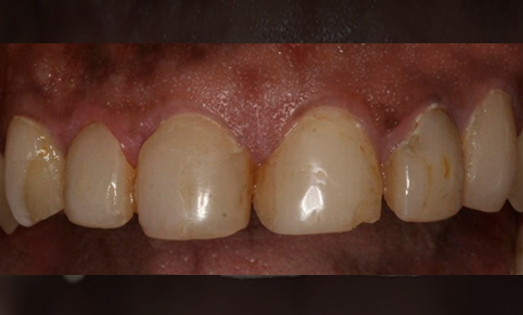
Replacement of an old crown with an All Ceramic CEREC restoration

A young female patient was looking for an aesthetic replacement of an old artificial looking front tooth which had been covered with a PFM ( metal Ceramic ) crown/cap. The gum around the old cap was reddish. The old cap was removed, a digital scan taken and a fresh All ceramic crown was fabricated in 30 min. The new crown was tested for fit and contour and then crystallized with the shade of choice. 2 hours later the patient had a new crown and a big smile. The photographs are the immediate pre and post treatment shots. After a couple of weeks the crown appears even more natural and the gum around it returns to better health.

TOTAL TREATMENT TIME : 2 HOURS ( ONE SITTING)

before
after

Replacement of an old crown with an All Ceramic CEREC restoration